안녕하세요. 24시 산곡 나무 동물의료센터 원장 이기용 입니다.
앞으로 저희 병원에서 치료했고 치료 중인 아이들의 심장 증례를 꾸준히 올려보려고 합니다.
많은 분들이 보시고 많은 정보를 얻으셨으면 하는 바람입니다.
임상을 하면서 보호자들이 가장 많이 묻는 질문들이 있습니다.
본인이 키우는 반려동물이 심장병이 맞는지? 어떤 상태인지? 향후 관리는 어떻게 해야 하는지? 입니다.
요새는 SNS나 Chat GPT 등을 통한 너무 많은 정보로 인해 잘못된 정보를 가지고 오시는 보호자가 많으십니다.
그 예로, "이뇨제는 무조건 나쁘다, 심장병에서는 살이 찌면 안 된다" 등이 있습니다.
저희 병원은 분과 진료를 통해 정확한 진단과 치료적 방향성을 제시하면서 심장병을 앓고 있는 반려동물에게 도움이 될 수 있도록 최선의 노력을 다하겠습니다.
예전부터 많이 키웠던 말티즈, 시츄(요새는 비숑, 포메라니안)는 심장병이 참 많이 생기는 것 같습니다.
이러한 14살 이상의 소형견 85% 는 이첨판 폐쇄부전증을 앓고 있습니다(ACVIM Consensus statement 2019>
쉽게 설명해 드리면 심장 안에 있는 판막이(=심장 안에 있는 수도꼭지라고 생각하시면 됩니다) 변화가 생기는 질환입니다.
이 수도꼭지가 노화가 되면서 꽉 닫아주지를 못하기에(피가 역류하게 되고) 앞으로(=머리,장,팔다리)가야 할 피는 못 가게 됩니다. 머리에 피가 못가면? 네 그렇습니다. 실신입니다.
어려운 말로 정 방향성 심부전이라고 합니다.
피가 오히려 뒤로 가게 되면서 좌심방의 압력이 높아지고 크기가 커지게 됩니다. (아래 그림 참조)

심장의 크기가 계속 커지는 데는 한계가 있겠지요?
결국, 폐에 물이 차는 폐부종이 오게 됩니다. 다시 어려운 말로 역방향성 심부전이라고 합니다.
너무 어려우시죠? 정리하면 심장병으로 인해 호흡곤란, 실신, 기침, 운동 불내성, 식욕 부진 등이 나타날 수 있습니다.
증례를 하나 보겠습니다.
10살로 추정되는 말티즈가 호흡곤란과 식욕 부진으로 내원하였습니다.
한 달 전에 스케일링 이력이 있었는데 그때 심장병 진단을 받았다고 하셨습니다.
보호자분은 2,3일 전부터 식욕 부진이 있었다고 합니다.
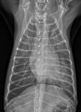
아래는 아이의 엑스레이 사진입니다.

검게 보여야 할 폐의 부분이 하얗게 보입니다, 더하여 방사선상 심장의 크기도 커 보입니다.
그렇습니다. 심장병에 의한 폐부종입니다.
아이의 혈액 검사 결과입니다.


신장 수치는 정상입니다. 그렇지만 pro BNP 수치가 굉장히 높네요?
pro BNP 수치란 심장이 비대가 됐을 때 오르는데 심장병이 있을수록 오를 수 있습니다.

Pro BNP 수치를 통해 간접적으로 심장병의 단계를 나눌 수도 있습니다.
단계란 무엇일까요? 쉽게 설명해 드리면
B1 = 심 잡음은 들리지만 심장 크기는 정상
B2 = 심 잡음 들리고 심장 크기도 커져 있음
C = 증상 발생(=실신, 폐부종 등)
D = 말기
오늘 소개하는 증례의 친구는 3378 C 단계의 평균을 넘어서는 수치네요.
결국, 이친구는 하루 입원하여 강력한 이뇨제 처치와 강심제 처치, 혈관확장제 처치를 한 후 퇴원하였습니다.
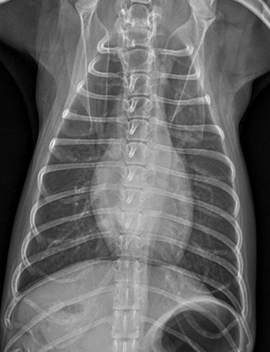
퇴원 당시 방사선 사진 볼까요?

완벽하게 폐부종이 사라지지는 않았네요? 아이의 경우 병원에서는 워낙 밥을 잘 먹지 않고
예민했던 아이이기 때문에 무리한 입원보다는 응급 상황만 해소 후 퇴원 후 내원약으로 관리해보기로 하였기 때문입니다!
일주일 후 내원한 아이는 식욕도 많이 좋아지고 호흡도 좋아졌습니다. 방사선과 초음파입니다.

방사선상 유의미하게 심장 크기가 줄어들고 폐부종은 모두 사라졌습니다!
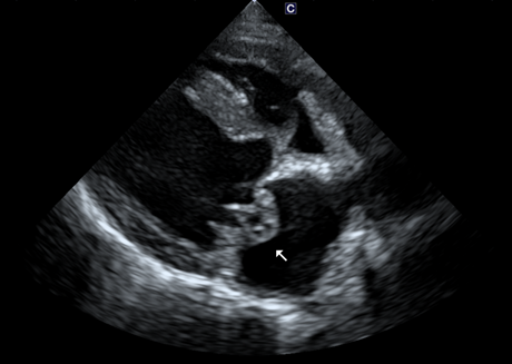
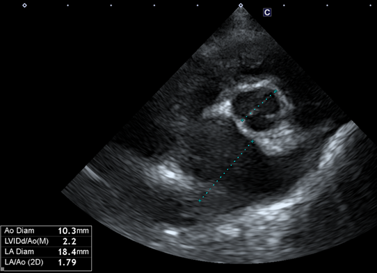
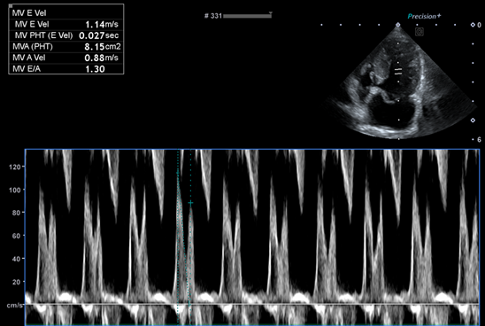
심장 초음파 보겠습니다

판막의 심한 변성과 Prolapse가 존재합니다.(화살표 모양)

좌심방의 크기를 나타내는 LA:AO는 1.79가 나왔습니다(정상은 1:1입니다)

좌심방의 압력을 간접적으로 나타내는 E vel은 많이 낮아졌습니다.
(보통 1.5m/s가 넘으면 폐부종이 터진 상황이거나 터지기 직전 상황입니다)
물론 이뇨제를 사용하는 과정에서 항상 순탄한 일만 있는 것은 아닙니다.
이뇨제라는 것은 폐의 물을 제거해주는 꼭 필요한 약이지만 신장에 무리를 줄 수 있는데요.
아이도 이뇨제로 관리를 하는 중 한 번의 신장 수치 상승이 존재했습니다,

그럴 때는 이뇨제를 감량해야 합니다. 하지만 그렇게 되면 폐부종이 또 올 수 있겠죠?
이를 대체하기 위해 강심제, 혈관확장제, 톨밥탄 등 다양한 약물을 대신하여 쓰게 됩니다.
현재 아이는 신장 수치를 잘 유지하며 꾸준한 관리를 하고 있습니다.
심장환자들은 갑자기 호흡곤란, 실신 등의 증상이 나타날 수 있습니다.
그렇기에 항상 24시간 환자를 돌볼 수 있고 진료롤 볼 수 있는 병원의 선택이 중요한 것 같습니다.
또한, 이를 치료하기 위해 심장약을 쓰다 보면 신부전, 췌장염 등의 합병증이 오는 경우를 자주 볼 수 있습니다.
정확한 진단으로 이러한 합병증을 최소화하며, 아이의 상태+보호자의 상황에 맞는 치료 방향 설계를 통해 보호자에게 힘이 되는 병원이 되겠습니다.
산곡나무동물의료센터 원장 이기용